Smile Gallery

Be Proud to Share Your Smile

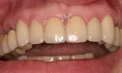
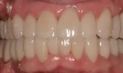
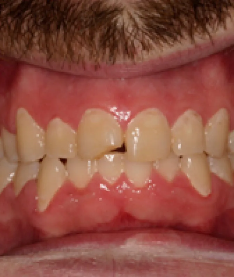
Our Butte Smile Gallery Showcases Our Success Stories

At Butte Family Dental, we're always working hard to give our patients beautiful, confident smiles. We share a sense of pride and happiness with our patients when they leave our office with natural, gorgeous grins. We're so proud, in fact, we're sharing our body of work in our Butte smile gallery! Just look at these successful results from our cosmetic and restorative dental treatments.

Our team provides excellent work in a friendly environment. But don't just take our word for it - the happy faces below speak for themselves! To see how we can help you, contact us today for an appointment.

Read Why Our Patients Love Us

I highly recommend Butte Family Dental. Everyone I have met makes going to the dentist a good, stress-free experience.

Emily D

I haven't been to the dentist in a few years since moving to Butte. I was nervous to try a new dentist because I had been going to the same one for a long time and felt comfortable there. Within minutes of walking through the front door, the front desk was pleasant and welcoming, check-in...

I haven't been to the dentist in a few years since moving to Butte. I was nervous to try a new dentist because I had been going to the same one for a long time and felt comfortable there. Within minutes of walking through the front door, the front desk was pleasant and welcoming, check-in process was a breeze. My hygienist was absolutely amazing and so was Dr. McIntyre. I highly recommend Butte Family Dental if you are looking for a positive experience!


Amy S

Butte family dental is top notch! I've had them preform dental work from cleanings to braces to cosmetic and been impressed with all of it. Dr.McIntyre is awesome along with Dr. Tara. The front desk gals are on top of their game and super welcoming, everyone in the office make things very...

Butte family dental is top notch! I've had them preform dental work from cleanings to braces to cosmetic and been impressed with all of it. Dr.McIntyre is awesome along with Dr. Tara. The front desk gals are on top of their game and super welcoming, everyone in the office make things very comfortable and friendly. I kinda look forward to going to the dentist now!


Kipp S

I was so impressed with this visit. I had sores from my false teeth. Been putting off going because of expense. Dr Kyle fixed my problem in less than 1/2 hour. My husband teeth have never fit since he got them in Helena 4 years ago. He has lost weight and always choking on food. Dr Kyle came up...

I was so impressed with this visit. I had sores from my false teeth. Been putting off going because of expense. Dr Kyle fixed my problem in less than 1/2 hour. My husband teeth have never fit since he got them in Helena 4 years ago. He has lost weight and always choking on food. Dr Kyle came up with a solution in no time at all. Can't be happier! Thank all of you! From the receptionist nurse and Doctor! Made are experience wonderful.ists Lisa was especially great and I am super lucky to be married to her!


Clara M

Exceptional dental services! Staff is wonderful! All of the doctors are understanding & patient.

Kate M

Dr. McIntyre and the hygienist I saw were top notch fabulous! Roxanne at the front desk took a lot of time to answer all of my questions since it was a new dentist for me. The facilities are very nice, I was impressed!! Very professional and very friendly.

Jackie H

Absolutely LOVE butte family dental. came in to get my teeth cleaned, and they offered a full wisdom teeth consultation, scheduling, the whole works. they really care about their patients and it definitely shows.

Alex C

This was my childhood dentist that I was lucky enough to return to after living in multiple different states. The experience that you have at this dental office is incomparable. They literally make you feel like family. They will do anything to make you feel comfortable and communicate with you...

This was my childhood dentist that I was lucky enough to return to after living in multiple different states. The experience that you have at this dental office is incomparable. They literally make you feel like family. They will do anything to make you feel comfortable and communicate with you to ensure the best care.


Shalon M

I absolutely love Butte Family Dental. Went in the first time for a cleaning, it was a pleasant experience and my teeth looked great.

Arica T

My special needs son has an excellent experience every time. Kyle and Lisa treat him wonderfully and he enjoys his appointments. The office staff are all kind and friendly. We would highly recommend this office

Robin S